Our Services

Root Canal Treatment

Root canal treatment is an often straightforward procedure to relieve dental pain and save your teeth. Patients typically need a root canal when there is inflammation or infection in the roots of a tooth.

Broken Fractured

Tooth Discoloration. Teeth can darken for many reasons, such as from poor dental hygiene, stain-causing food and drinks,tobacco use, certain medicines and diseases, advancing age, injury to teeth, family history and too much fluoride in water or dental products.

Denture

Dentures are custom-made replacements for missing teeth and can be taken out and put back into your mouth. While dentures take some getting used to, and will never feel exactly the same as natural teeth,

Dental Implant

A dental implant is an artificial tooth root replacement and is used to support restorations that resemble a tooth or group of teeth. At Family Dental Hospital tooth Implant surgery is performed under general case.

Dental Braces

Dental braces are used to straighten irregular and protruding teeth to improve your facial profile and give you the perfect smile.Dental braces can be used in children as well in adults to get a complete smile makeover.

Teeth Whitening

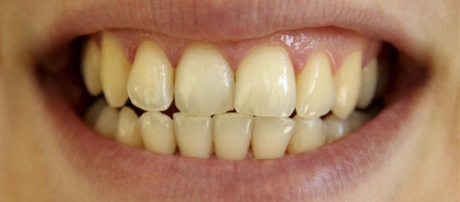
Tooth whitening can be a very effective way of lightening the natural colour of your teeth without removing any of the tooth surface. It cannot make a complete colour change, but it may lighten the existing shade.

Smile Designing

Smile Design Treatment is a cosmetic treatment that focuses on improving the appearance of your smile through certain procedures such as dental veneers, composite bonding, teeth whitening and tooth implant.

Orthodontics

It is concerned with the study and treatment of malocclusions (crooked teeth), which may be a result of tooth irregularity, disproportionate jaw relationships, or both.

Periodontics

Deals with the supporting structures of teeth, known as the periodontium. Literally taken, it means study of that which is “around the tooth”. Periodontal diseases take on many different forms, but are usually a result of bacterial infection of the gums.

Cosmetic Dentistry

Through cosmetic dentistry, the appearance of the face can be altered to more closely match the patient’s subjective concept of what is visually pleasing

Child Care

Healthy teeth are important to your child’s overall health. From the time your child is born, there are things you can do to promote healthy teeth.

ORTHODONTIC PROCEDURES

  • Metal braces
  • Ceramic braces
  • Aligners
  • Removable appliances for minor correction
  • Fixed appliances

ORAL SURGERY

  • Extraction
  • Surgical extraction(third molar/ wisdom tooth)
  • Aligners
  • Alveoplasty
  • Apicoectomy
  • Cyst removal
  • Hemisection
  • Jaw fracture (plating/arch fixation)

PERIODONTAL

  • Scaling and root planing
  • Osseous surgery
  • Bone grafting
  • Soft tissue grafting
  • Crown lengthening
  • Cosmetic Gum Surgery

COSMETIC PROCEDURES

  • Smile Designing
  • Veeners (laminate)
  • Bleaching/Tooth Whitening
  • Tooth Jewellery

PREVENTIVE PROCEDURES

  • Topical fluoride treatment
  • Sealant
  • Space maintainer
  • Night guard for teeth clenching
  • Occlusal guard
  • Cleaning and polishing
  • Mouth Guards for Sports Person

IMPLANT SERVICES

  • Single tooth implant
  • Immediate implant
  • Overdenture

KIDS DENTISTRY

  • Pulpotomy/Pulpectomy
  • Space Maintainer
  • Strip/Stainless Steel / Zirconia Crowns
  • Various other treatment for prevention of Dental caries

RESTORATIVE PROCEDURE

  • Tooth coloured restoration (Composite/GIC)
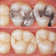
  • Silver amalgam filling
  • Root canal treatment (Single sitting / Multiple sitting / Re-RCT)
  • Direct / Indirect pulp capping
  • Apexification / Apexogenesis
  • Management of Fractured/broken & Discoloured Tooth

PROSTHESIS

  • Crown ( Metal, Gold, Porcelain fused to metal, All ceramic)
  • Bridges (Metal, Porcelain fused to metal, All ceramic)
  • Post and core
  • Temporary crown
  • Complete Denture
  • Partial Denture
  • Cast partial denture

ORTHODONTIC PROCEDURES

ORAL SURGERY

PERIODONTAL

COSMETIC PROCEDURES

PREVENTIVE PROCEDURES

IMPLANT SERVICES

KIDS DENTISTRY

RESTORATIVE PROCEDURE

PROSTHESIS

Appointment Now

Designed & Developed By